Una nueva investigación ha encontrado que la primera máquina de resonancia magnética portátil del mundo puede detectar con precisión los accidentes cerebrovasculares isquémicos. La máquina fue aprobada para su uso por la Administración de Drogas y Alimentos de los EE. UU. (FDA) en 2020 y los investigadores están demostrando cada vez más que es una herramienta de diagnóstico tan efectiva como los dispositivos de resonancia magnética más grandes y costosos.
La empresa de tecnología de la salud Hyperfine lanzó por primera vez su máquina de resonancia magnética portátil en 2019 . Posteriormente llamado Swoop, el dispositivo ha sido optimizado desde entonces con tecnología de aprendizaje profundo para mejorar sus imágenes.
Hay dos tipos de accidente cerebrovascular: isquémico y hemorrágico. Un accidente cerebrovascular isquémico ocurre cuando un coágulo bloquea el flujo de sangre en el cerebro, mientras que un accidente cerebrovascular hemorrágico es el resultado de una hemorragia en el cerebro.
Cuando un paciente se presenta en una sala de emergencias con síntomas de accidente cerebrovascular, es crucial que los médicos identifiquen rápidamente si el accidente cerebrovascular es isquémico o hemorrágico. El tratamiento de un accidente cerebrovascular isquémico sospechoso con anticoagulantes, por ejemplo, podría resultar fatal si el accidente cerebrovascular en realidad fue hemorrágico.
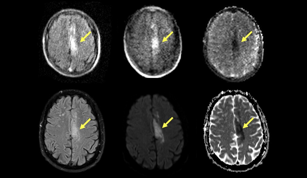
Así que este nuevo estudio se propuso investigar con qué precisión la máquina de resonancia magnética portátil podría detectar un accidente cerebrovascular isquémico. Una colaboración entre investigadores de la Escuela de Medicina de Yale y la Universidad de Harvard examinó a 50 pacientes del Hospital Yale New Haven.
Cada paciente se sometió a resonancias magnéticas convencionales para confirmar un diagnóstico de accidente cerebrovascular isquémico. Luego fueron escaneados con la máquina de resonancia magnética portátil, que podía detectar con precisión coágulos de sangre en el cerebro en el 90 por ciento de la cohorte.
La máquina portátil se probó en una variedad de salas de emergencia y escenarios de cuidados intensivos. Se encontró que detecta coágulos de sangre tan pequeños como 4 mm de diámetro.
“Esta es la primera evidencia sistemática de que se pueden detectar accidentes cerebrovasculares isquémicos mediante dispositivos portátiles junto a la cama”, anotó el coautor Kevin Sheth.
Los resultados confirman la utilidad clínica de estas nuevas máquinas portátiles de resonancia magnética (pMRI). Aunque no pueden lograr la precisión o el detalle de una resonancia magnética convencional, los investigadores afirman que los nuevos dispositivos pueden hacer que las exploraciones de resonancia magnética sean más accesibles para un mayor número de pacientes.
Las máquinas de resonancia magnética tradicionales requieren técnicos capacitados y una infraestructura costosa. Es necesario construir habitaciones enteras para albergar las máquinas, mientras que estos dispositivos portátiles simplemente se pueden transportar en ruedas por los hospitales. Los pacientes pueden ser escaneados al lado de su cama y los proveedores solo necesitan un entrenamiento mínimo para operar las máquinas.
“… la facilidad de uso y el bajo costo de la pMRI posicionan esta novedosa modalidad de imágenes para abordar los cuellos de botella clínicos y las necesidades de imágenes no satisfechas en entornos con recursos limitados”, concluyeron los investigadores en el nuevo estudio. “Juntos, estos resultados sugieren que la pMRI de campo bajo puede crear vías de imagen que evitan los desafíos y las limitaciones asociadas con los enfoques tradicionales de imagenología de accidentes cerebrovasculares”.
El nuevo estudio fue publicado en la revista Science Advances .
Fuente:
Haridy, R. (2022, 21 abril). Portable MRI can accurately detect most common form of stroke. New Atlas. Recuperado 21 de abril de 2022, de https://newatlas.com/medical/portable-mri-device-hyperfine-yale-ischemic-stroke/



